
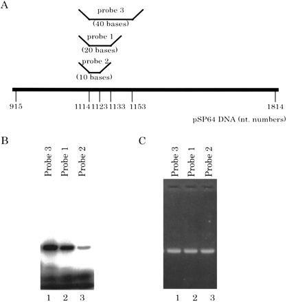
Effect of the size of the complementary sequence in probing oligonucleotides. A reaction mixture (20 μL) consisting of 100 ng of target DNA (900 bp), a probing oligonucleotide that had been labeled at the 5′-terminus with 32P using T4 polynucleotide kinase, was subjected to direct marking. (A) Diagrammatic representation of the relative position of the complimentary sequences of probe 3, probe 1, and probe 2. (B) Autoradiographic patterns. (C) Ethidium bromide patterns. In both B and C, lane 1, with probe 3 (40 complementary bases); lane 2, with probe 1 (20 complementary bases); and lane 3, with probe 2 (10 complementary bases). For details, see Methods.











