
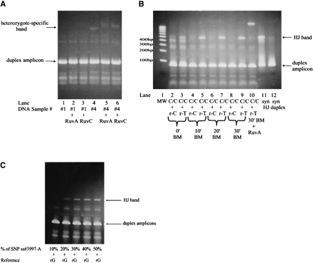
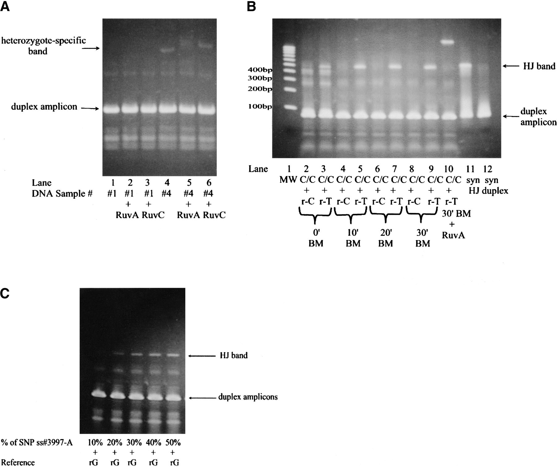
PCR-generated Holliday Junctions can be detected on gels. (A) A heterozygote-specific, lower-mobility band was the only band that was up-shifted by RuvA and RuvC. DNA sample #4 is a homozygote, and DNA sample #1 is a heterozygote. (B) After 10 min of branch migration (BM), the target amplicons of a C/C homozygote of SNP rs#1551570 formed a lower-mobility band with the T/T reference amplicons (r-T) but not with the C/C reference amplicons (r-C). This lower-mobility band was the only band that was up-shifted by RuvA, and it had the same mobility as the synthetic HJ designed to mimic the HJ formed between the C/C target amplicons and the r-T reference amplicons. (C) A PAGE gel showing the correlation between the number of Holliday Junctions and the allele frequency of SNP ss#3997 allele A (percent of SNP ss#3997-A).











