
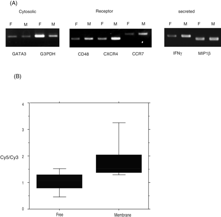
Distribution analysis of RNA encoding proteins with characterized subcellular localization. (A) RT-PCR was performed on total RNA isolated from the free ribosomal and the microsomal fraction. GATA3 and G3PDH were selected for cytoplasmic proteins; CD48, CXCR4, and CCR7 for receptors; and IFNγ and MIP1β for secreted proteins. F and M indicate the free ribosomal and the microsomal fraction, respectively. (B) Microarray analysis gave a Cy5/Cy3 ratio to each gene. The free column shows the box plot of Cy5/Cy3 ratios of 150 genes encoding cytoplasmic proteins; the membrane column shows the box plot of Cy5/Cy3 ratios of 229 genes encoding secretory proteins. Each box includes 60% of genes encoding the cytoplasmic or secretory proteins.











