
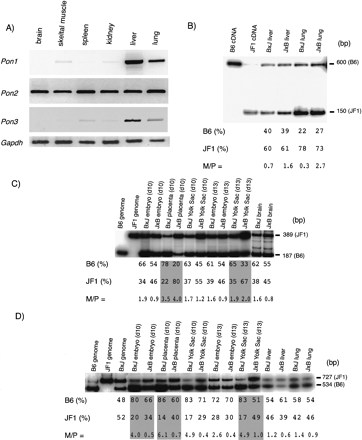
Characterization of Pon1, Pon2, and Pon3. (A) Expression profiles of Pon1, Pon2, and Pon3. RT-PCR products (30 cycles for Pon1, Pon2, and Pon3, and 25 cycles for Gapdh) from the same adult tissues used in Fig. 3A are shown. Pon2 was expressed ubiquitously, whereas Pon1 and Pon3 expression were observed mainly in liver and lung. (B) Biallelic expression of Pon1. In the MspI RFLP experiment with Hot-stop PCR, the B6 and JF1 alleles yielded 600- and 150-bp fragments, respectively. The biallelic expression patterns were unchanged between reciprocal crosses, although JF1 alleles were always expressed more strongly than B6 alleles. (C) Maternal expression of Pon2. In the HaeIII RFLP experiment with Hot-stop PCR, the B6 and JF1 alleles yielded 187-bp and 389-bp fragments, respectively. Preferential maternal expression of Pon2 was observed in placenta and to a lesser degree in day 13 yolk sac. (D) Maternal expression of Pon3. In the PleI RFLP experiment with Hot-stop PCR, the B6 and JF1 alleles yielded 534-bp and 727-bp fragments, respectively. Maternal biases of both the B6 and JF1 alleles were observed in day 10 placenta and day 13 yolk sac and also observed in day 10 embryo to a lesser degree. Note that the B6 allele was expressed more strongly than the JF1 allele in all cases.











