
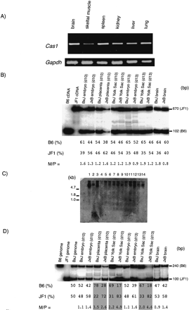
Characterization of Cas1 and Neurabin. (A) Expression profiles of Cas1. The RT-PCR products (30 cycles for Cas1 and 25 cycles for the control Gapdh) using total RNA from a range of adult tissues (brain, skeletal muscle, spleen, kidney, liver, and lung) are shown. (B) Cas1 expression in the embryonic stage. In the DdeI RFLP experiment combined with Hot-stop PCR using a radioisotope-labeled primer, the B6 and JF1 alleles yielded 102- and 670-bp fragments, respectively. Three experiments were carried out in the same samples and the average ratios between the B6 and JF1 alleles, and also between maternal and paternal alleles (M/P values), are shown below. Similar results were obtained in the tissues from different individuals (data not shown). (C) Northern blot profiles of Neurabin in mouse adult tissues. Strong expression is observed in the brain sample, whereas weak ubiquitous expression is observed in all other tissues. (D) Maternal expression of Neurabin. In the AciI RFLP analysis with Hot-stop PCR, the B6 and JF1 alleles yielded 240- and 100-bp fragments, respectively. Preferential maternal expression was observed in placenta (day 10) and yolk sac (day 10 and 13) samples. The gray boxes indicate clear maternal biases in reciprocal crosses.











