
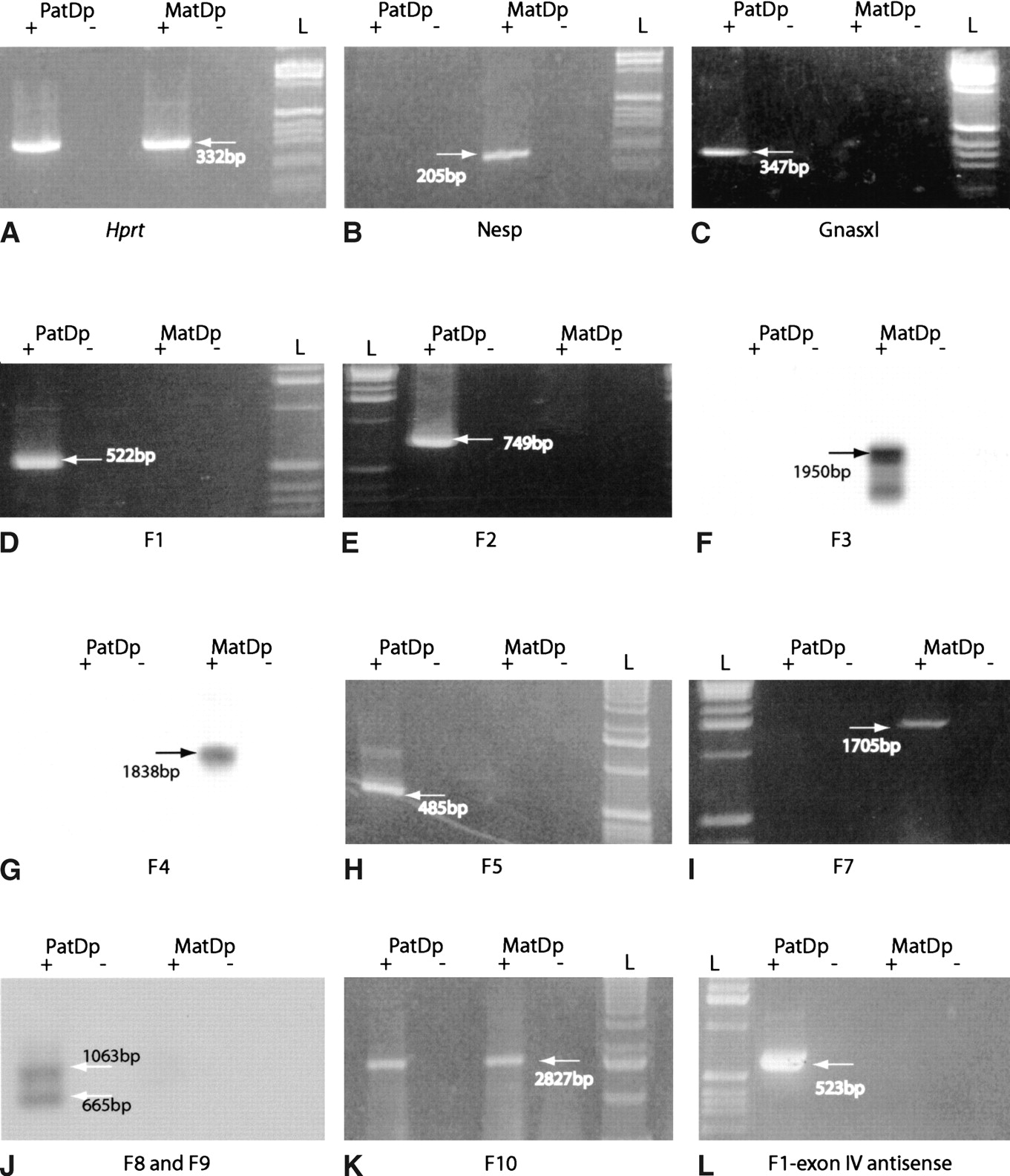
Imprinting status of FANTOM clones F1–F10. Each PCR product is sized with a -kb ladder (Invitrogen). MatDp(dist2) and PatDp(dist2) are abbreviatedto MatDp and PatDp, respectively. + and - refers to samples amplifiedin the presence (+) or absence (-) of reverse transcriptase. Oligo dT-primed cDNA was amplified with: (A) Hprt primers as an amplification control; (B) Nesp primers to confirm the MatDp(dist2) cDNA; and (C) Gnasxl primers to confirm the PatDp(dist2) cDNA. Strand-specific RT-PCR of FANTOM clones 1–10: (D) paternal expression of F1; (E) paternal expression of F2; (F) maternal expression of F3; (G) maternal expression of F4; (H) paternal expression of F5; (I) maternal expression of F7; (J) paternal expression of F8 and F9; and(K) bi-allelic expression of F10. The PCR products from F3 (F), F4 (G), F7 (I), and F8 (J) were blottedand probedas describedin Methods. (L) F1 is part of Nespas. PCR from exon IV of Nespas to F1 reveals a paternal-specific product. The products in A–C, G, H, and L were amplifiedfor 25 cycles. The products in D–F, I and J were amplifiedfor 30 cycles; the product in K was amplifiedfor 20 cycles. (L) 1-kb Ladder (Invitrogen).











