
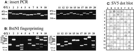
Ampicillin selection generates randomly sized open reading frames. (A) 20 random clones taken from a plasmid-generated fragment library, after selection on ampicillin and passage through a Cre-expressing strain to remove β-lactamase, were amplified with primers spanning the cloning site. All fragments are different sizes, indicating that different random fragments have been cloned. (B) Clones from A were digested with BstNI. All clones show different fragment sizes. (C) The supernatants from 96 random clones from the same library were spotted onto nitrocellulose after induction of protein fragment expression with IPTG. As can be seen, >80% of these clones have signals indicating that an open reading frame has been selected.











