
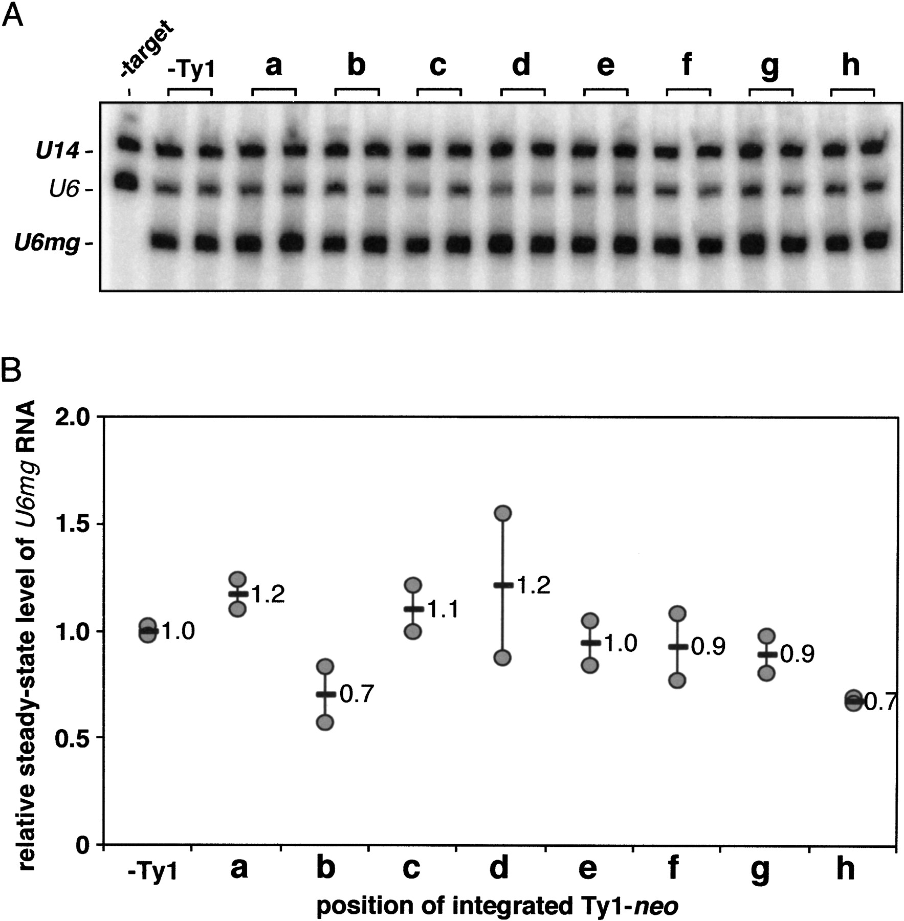
Effect of Ty1-neo insertions on U6mg target gene expression. (A) RNA blot analysis of U6mg andU14 transcripts containing the target plasmid with a single integrated Ty1-neo element. Multiple yeast transformants containing the same Ty1-neo target plasmid were analyzed. RNA was also isolated from cells lacking the U6mg target plasmid (-target). The endogenous U6 snRNA (U6) present in all cells is indicated. The ratio of U6mg to U14 RNA was determined for each sample. These ratios were further normalized for plasmid copy number in each transformant. (B) Normalized RNA levels are relative to that of a target plasmid lacking a Ty1-neo insertion (-Ty1).











