
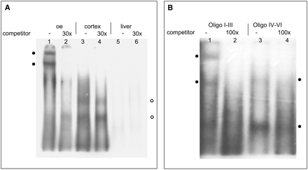
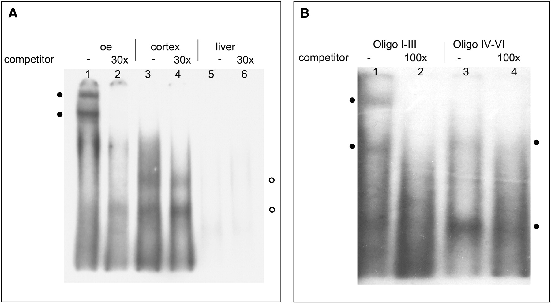
(A) Characterization of protein interactions with sequence motif blocks I-VI from the putative promotor region of mOR262-6 using EMSAs. Each lane contains 10 fmol of 32P-labeled motif block DNA and was incubated with different nuclear extracts.(Lanes 1,2) 5 μg protein from olfactory epithelium; (lanes 3,4) 10 μg from cortex; (lanes 5,6) 20 μg from liver.Lanes (2,4,6) were pre-incubated with a 30-fold excess of unlabeled competitor DNA.(•) Shifted bands which are eliminated using the competitor DNA.(○) Bands which cannot be blocked by competitor.(B) Characterization of protein interactions with sequence motif blocks I-III (lanes 1,2) and IV-VI (lanes 3,4) from mOR262-6 using EMSAs.Each lane contains 10 fmol of 32P-labeled DNA and was incubated with 10 μg of nuclear extract from olfactory epithelium.Lanes (2,4) were pre-incubated with a 100-fold excess of unlabeled competitor DNA.(•) Shifted bands resulting from interactions of proteins with either motif blocks I-III (left) or motif blocks IV-VI (right).











