
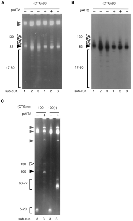
Effect of methylation on the genetic stability of DM1 (CTG)n repeats. (A) The DM1 plasmid containing (CTG)83 repeats (Table1) was propagated in E. coli in the absence or presence of theSssI methylase-expressing plasmid pAIT2. After three subculturings (each representing 25 generations), an aliquot of cells was harvested and plasmids isolated, restriction digested, and analyzed by 4% PAGE and ethidium bromide staining. To test for repeat length changes, DNAs were digested with SacI and PstI, which liberates the (CTG)n repeat-containing fragments from the DM1 clones, which are resolvable from pAIT2 and vector bands (indicated by brackets). The starting lengths of (CTG)n are indicated by filled arrowheads, products with larger-than-starting material lengths are indicated by open arrowheads, and (CTG)n deletion products are indicated by brackets. This gel is representative of five or more independent experiments. (B) To confirm that products were caused by changes in repeat numbers, the gel shown in panel Awas electrotransferred to nylon membrane and hybridized to32P-labeled (CTG)15 oligonucleotides and exposed for autoradiography. (C) Plasmids containing 100 CTG repeats cloned in the stable [(CTG)100] and unstable [(CTG)100(−)] orientations (Table 1) were subcultured three times in the absence or presence of methylation (± pAIT2) and (CTG)n repeat length changes analyzed as above. Although the deleterious effect of replication orientation on this long tract is not evident in the third subculturing (Bowater et al. 1996; Kang et al. 1995), the stabilizing effect of methylation is (see text); thus only the third subculturing is shown. Products are labeled as in panel A. This gel is representative of five or more independent experiments.











