
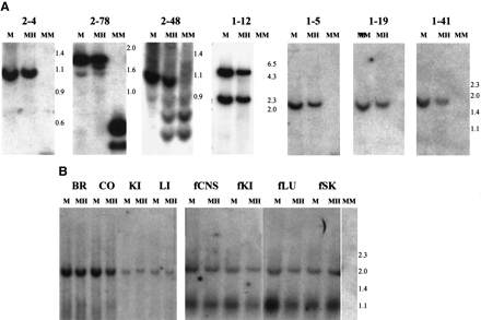
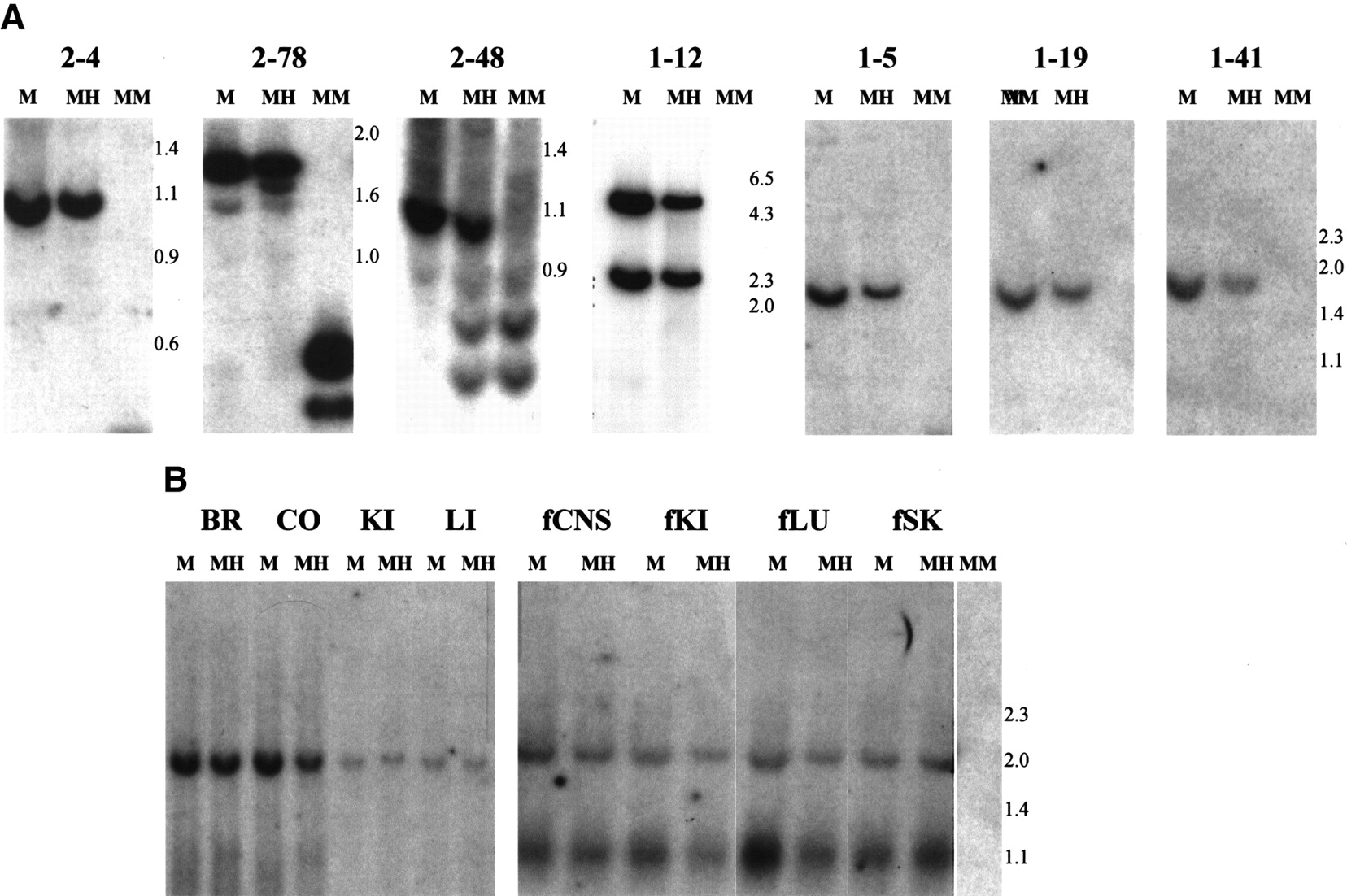
Methylation of CpG islands in normal human DNA. Genomic DNA from peripheral blood lymphocytes (A) or tissues (B) was digested with Mse I (M), Mse I + Hpa II (MH), or Mse I + Msp I (MM). Fragment sizes are indicated to the right. CpG islands used for Southern blot hybridization are indicated in panel A, and CpG island clone 1–19 was used in panel B. Note that there is an Mse I polymorphism in the fetal tissue that is not in the adult tissue, accounting for the presence of two bands in the fetal tissue Mse I digest. Blots were made in duplicate and one set was hybridized to RB to ensure the presence of DNA in the Msp I lane. BR, brain; CO, colon; KI, kidney; LI, liver; fCNS, fetal CNS; fKI, fetal kidney; fLU, fetal lung; fSK, fetal skin.











