
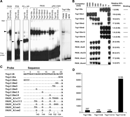
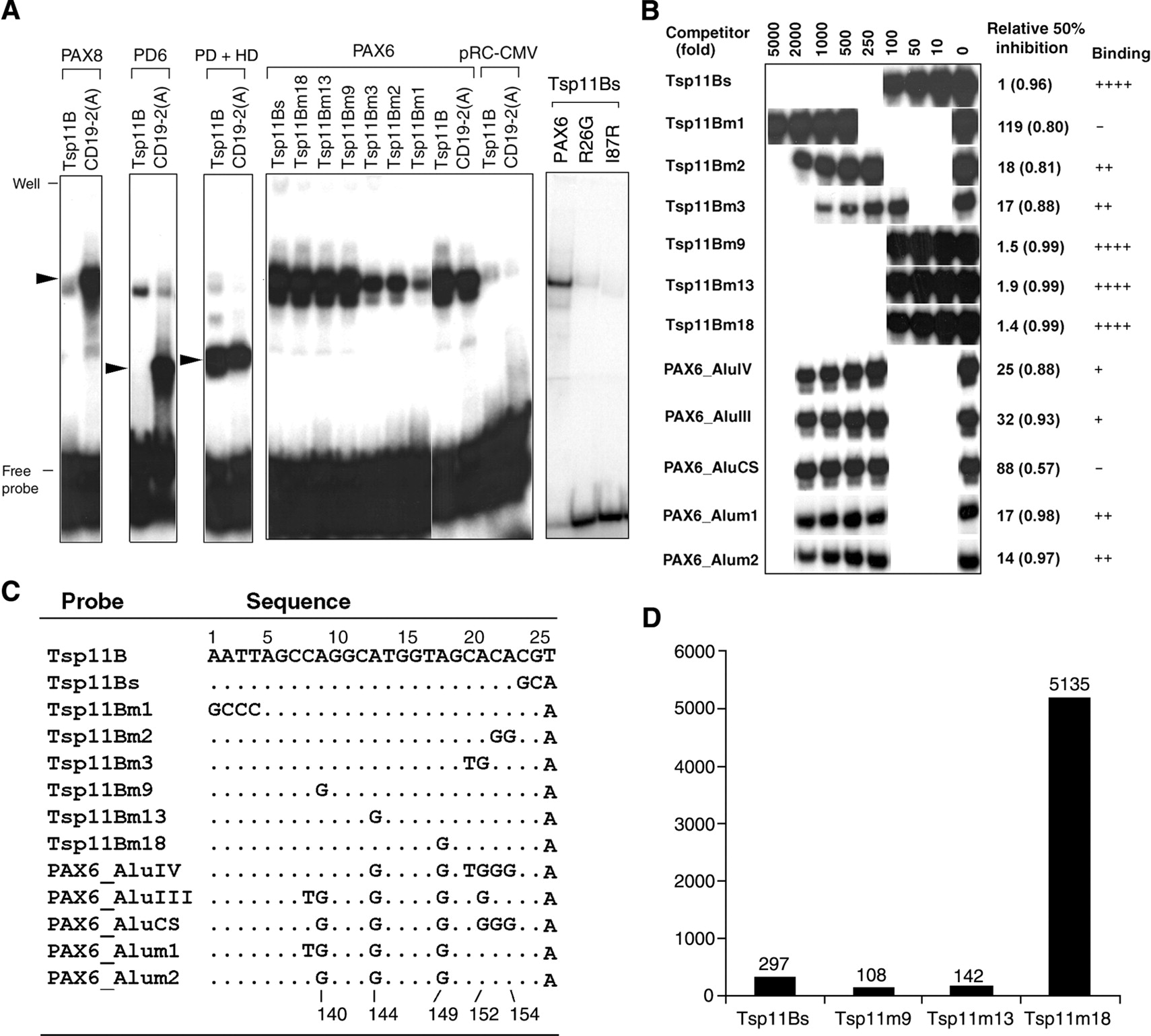
(A)PAX6-specific binding to the Alu-type PAX6 binding sequences (Tsp11Bs, Tsp11Bm9, Tsp11Bm13, andTsp11Bm18). CD19-2(A) was used as a positive control. For protein abbreviations, see the legend for Figures 1 and 2. (B) Binding affinities of the Alu-type PAX6 binding sites and their mutants were determined through competitive EMSA. The hot probe is Tsp11Bs. (C) The sequences of the probes. The numbers at the bottom of the alignments correspond to locations in Alu consensus sequences (Jurka and Smith 1988). (D) Proportion of different Alu-type PAX6 binding sites in the human genome (http://www.ncbi.nlm.nih.gov/hs_phase3.fna, release on May 8, 2002). All probes contained the additional random nucleotides (described in the legend to Fig. 2) at their ends, which served as possible docking sites.









