
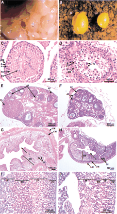
Pathology of the Desrt −/− mice. (A) Bilaterally cryptorchid testes of a 6.5-wk-oldDesrt −/− mouse. The undescended testes (T) are shown relative to the position of the bladder (B). (B) Descended (D) and undescended (U) testis, of a 6.5-wk-old unilaterally cryptorchid Desrt −/− mouse showing the smaller size of the undescended testis. (C,D) Histopathology of a 14-wk-old testis. Seminiferous tubules of a wild-type testis (C) densely packed with spermatogenic cells as compared with an undescended Desrt −/− testis (D) with disturbed spermatogenesis shown by the marked decrease in the number of germ cells, particularly the round spermatids (RS) and elongated spermatids (ES) and the presence of symplasts (Sy). (S) Spermatogonia; (P) primary spermatocytes; (BM) basement membrane. (E,F) Histopathology of a 4-mo-old ovary from a heterozygous mouse (E) showing normal follicular maturation as compared with a Desrt −/− ovary (F) showing the absence of corpora lutea. (PF) Primary follicles; (AF) secondary antral follicles; (CL) corpora lutea. (G,H) Histopathology of a 4-mo-old uterus from a heterozygous mouse (G) and the markedly smaller Desrt −/−uterus (H) showing thinner muscle layers, a reduced stratum basalae (SB), containing smaller glands, (G1). (LM) Longitudinal muscle; (CM) circular muscle; (L) uterine lumen. (I,J) Histopathology of 4-wk-old female (I) control and (J) Desrt −/− adrenal glands showing the severely diminished size of the zona reticularis. (M) Medulla; (ZR) zona reticularis; (ZF) zona fasiculata; (ZG) zona glomerulosa.











