
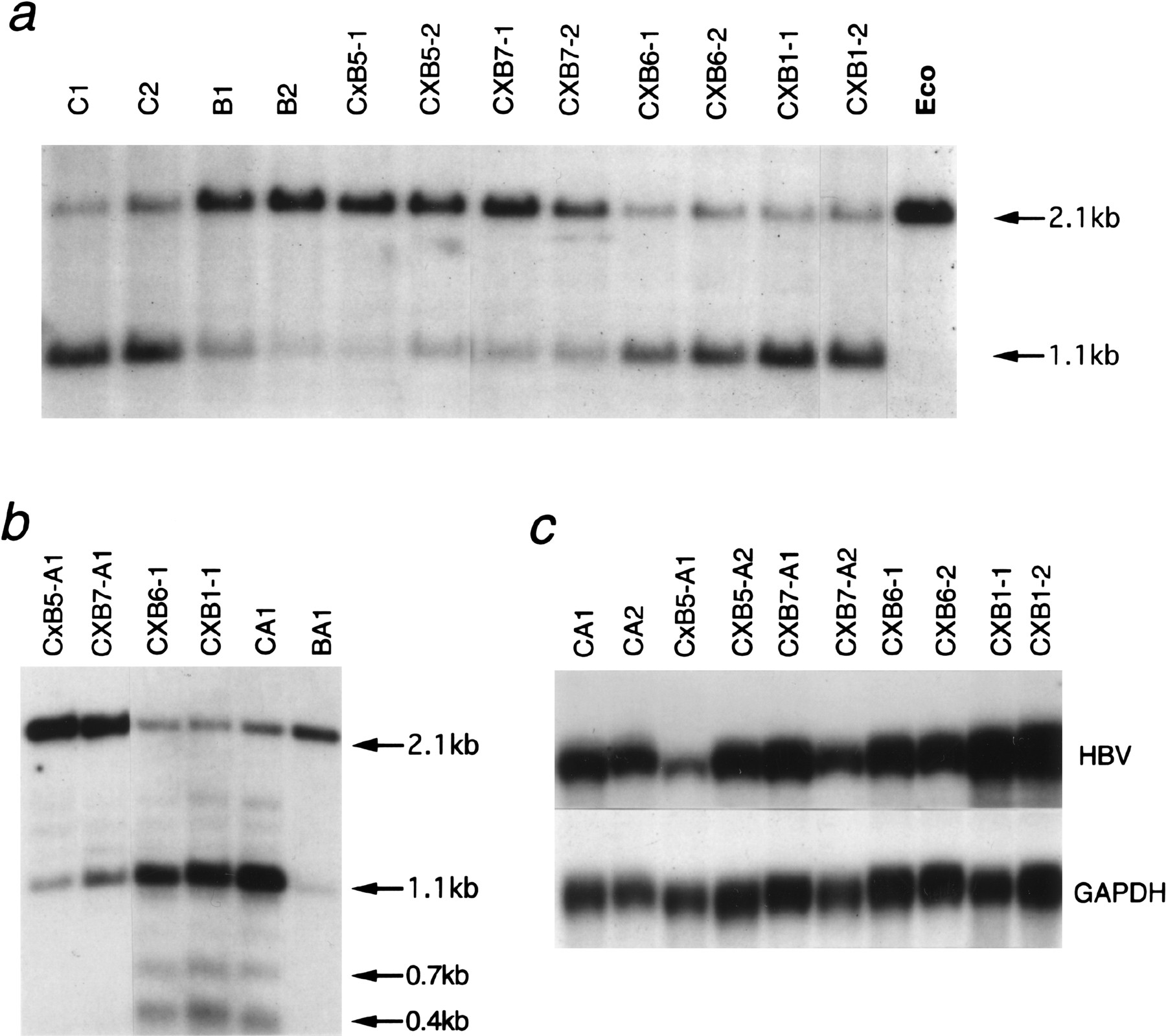
Southern blot analysis of heart and lung DNA (a), or liver DNA (b), from the progeny of a E36 male crossed to BALB/cJ (B1, B2, BA1), C57BL/6J (C1, C2, CA1), and recombinant inbred mice CXB5 (5–1, 5–2, 5-A1, 5-A2), CXB7 (7–1, 7–2, 7A1, 7A2), CXB6 (6–1, 6–2) and CXB1 (1–1, 1–2). Samples were restricted withEcoRI and HpaII, except for sample Eco withEcoRI alone. (c) Northern blot analysis of the liver S mRNA in the progeny of a E36 male crossed to C57BL/6J (CA1, CA2), and recombinant inbred mice CXB5 (5-A1, 5-A2), CXB7 (7-A1, 7-A2), CXB6 (6–1, 6–2) and CXB1 (1–1, 1–2). Samples labeled A are from adults.











