
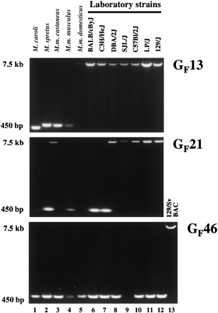
Some GF elements are recent insertions. Shown are PCR reaction products which verify the presence (7.5-kb product) or absence (450-bp product) in the genomes of individual mice of different subspecies and laboratory strains. A faint, ∼7.5-kb product is present in lane 5 (M. m. domesticus) of GF21 which we have not been able to confirm as L1-related by sequencing. In the case of GF46, no PCR product is seen in lane 9 (strain SJL/J), although in other reactions we have been able to amplify an obvious 450-bp product. The 7.5-kb product labeled 129/Sv BAC (lane 13 of GF46) was amplified from bacmid DNA of CITB/Research Genetics clone #437P9.











