


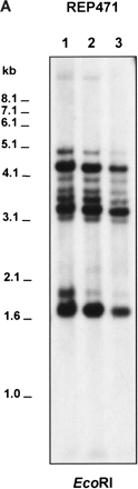
Detection of several copies of REP471 on chromosome 15 and other human chromosomes. (A) Southern blot analysis of REP471 against human DNA shows a complex pattern with at least 11 fragments. (B) Southern blot analysis of REP471 against DNA from somatic cell hybrids containing single human chromosomes in a rodent background. Only those human chromosome lanes with positive hybridization are shown. Lane 1: DNA from somatic cell hybrid containing human chromosome 2; lane 2: human chromosome 7; lane 3: human chromosome 15; lane 4: human chromosome Y; lane 5: human genomic DNA from line IMR91; lane 6: mouse genomic DNA from line 3T6; lane 7: Chinese hamster genomic DNA from line RJK88. (C) CLUSTAL W alignment of 18 REP471 sequences belonging to human chromosome 15 present in the HTGS database division. The 18 REP471 sequences were grouped in 10 groups according to the observed differences (clones 152f13, 156n7, and 624n5 have each two copies of REP471, designated as .1 and .2). The localization of the clones containing the REP471 sequences was based on the position of the respective markers on the G3 and Genebridge 4 ratiation hybrid maps. Bold type indicates nucleotides that are different from the original REP471 sequence of RG-471a13. Asterisks indicate matched nucleotides for all sequences.











