
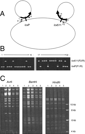
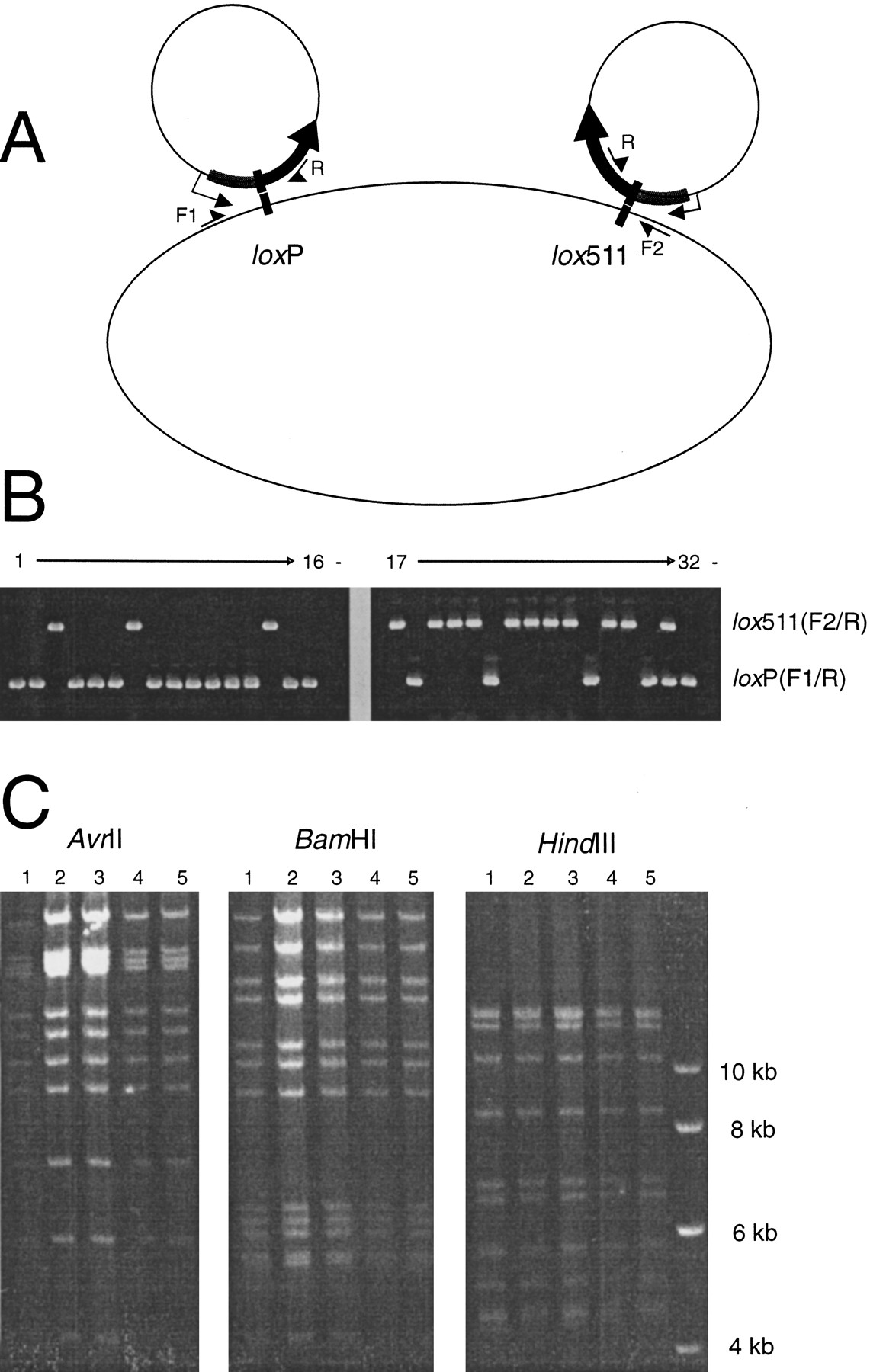
Representative results of retrofitted clones. (A) Schematic representation of possible recombinants from retrofitting pBACe3.6-generated BACs with pRetroES, showing primers used in colony PCR: F1 and F2 on the BAC vector and Retro-R (shown as R) on the retrofitting construct. (B) Colony PCR results showing the efficiency of the retrofitting and the frequency of integration atloxP and lox511 sites. Thirty-two chloramphenicol/ampicillin double-resistant colonies were PCR amplified with primers that identified integrations either at loxP site (F1 and R) or at lox511 site (F2 and R). As shown, 31 of the 32 clones have pRetroES integrated either at loxP (13/32) or at lox511 (19/32) site, and one of them, Clone 31, has a double integration. (C) Restriction digestion of five different retrofitted clones of the same BAC showing the fidelity of the retrofitting process. Five randomly picked cam/amp double-resistant colonies (numbered 1 through 5) were grown in liquid media and DNA prepared and digested with restriction enzymes AvrII,BamHI, and EcoRI. Electrophoresis was performed on 0.6% agarose at low voltage for about 24 h and the gel was stained with ethidium bromide.











