
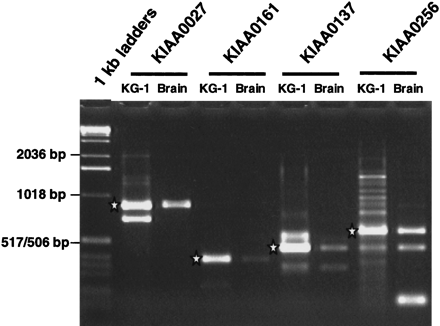
Figure 2.
Gel images of RT-PCR products generated from two different mRNA sources. RT-PCR products obtained from KG-1 and brain mRNAs were run on a 1% agarose gel. Because clones for all of these KIAA genes were originally found in a KG-1 cDNA library, the RT-PCR products from KG-1 mRNA, which are marked by white stars in this figure, were directly sequenced.











