
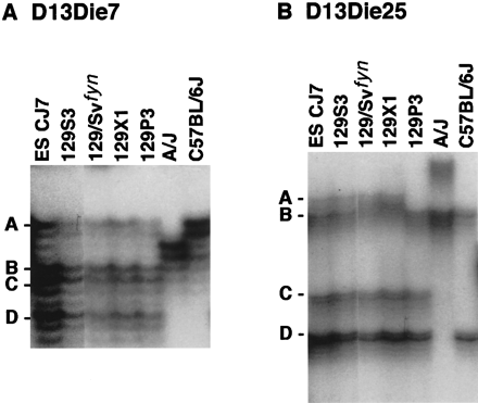
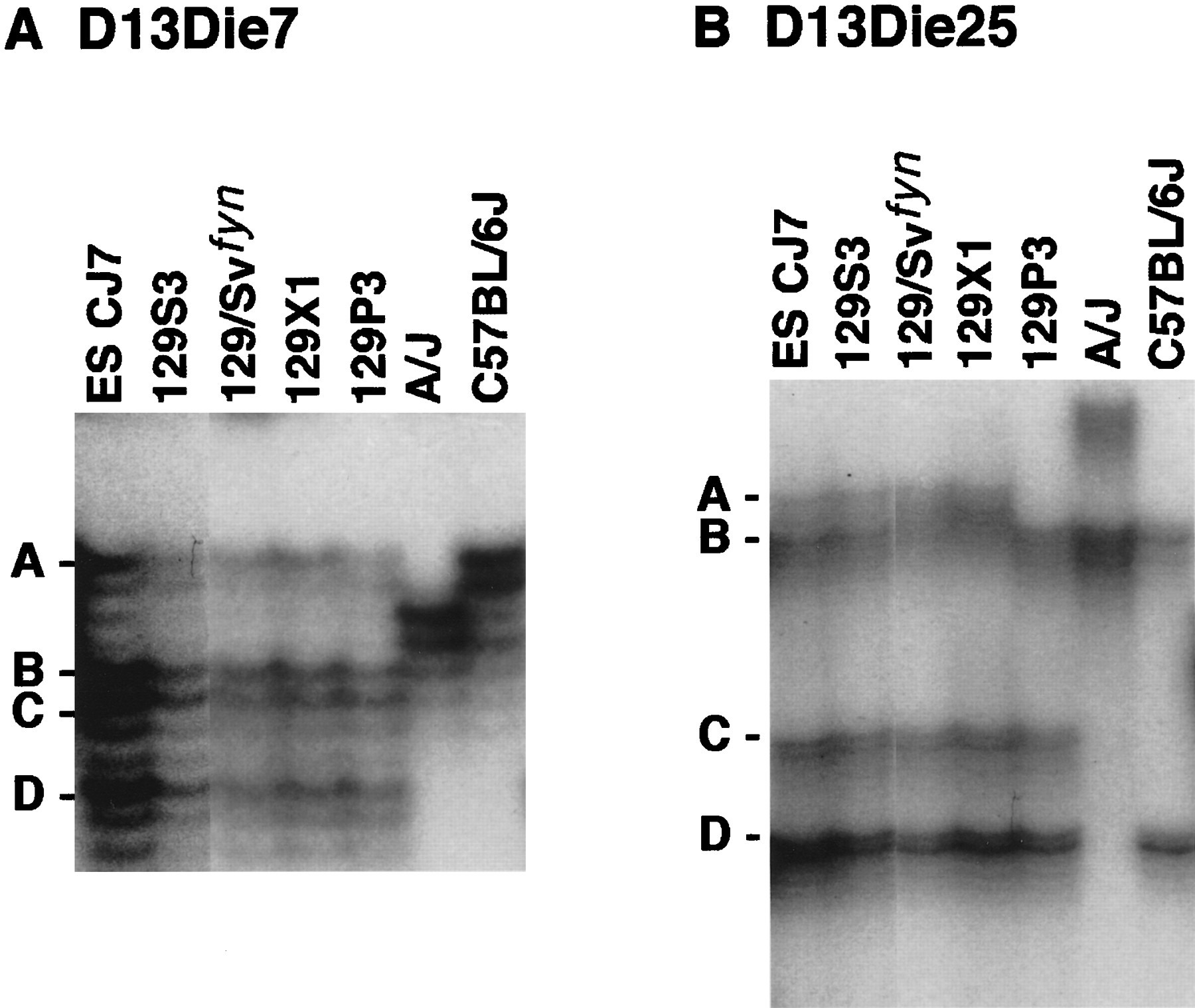
Amplification of polymorphic microsatellite markers from mouse genomic DNA identifies differences in the Naip repeat structure among inbred mouse strains. Autoradiography of 6% denaturing polyacrylamide gel of PCR products amplified from genomic DNA of the indicated mouse strains using primers for microsatellite markers D13Die7 (A) and D13Die25 (B). Four bands representing four distinct loci for each marker identified in the 129 haplotype are labeledA–D, from largest to smallest. A, D13Die7: all 129 substrains analyzed demonstrate four amplified loci.B, D13Die25: band A is polymorphic in 129P3. These markers amplify two distinct bands in A/J and C57BL/6J.











