
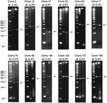
Four percent agarose–TBE gel electrophoresis of PCR amplicons generated using oligo(dT) primed reverse transcribed total cytoplasmic RNA (RT) and genomic DNA (G) as template. Nucleic acids were extracted from K562 cells. PCR was performed using library clone specific primers. M denotes a 50n-bp DNA size marker. All clones show the presence of a single PCR amplicon of the expected size using both DNA templates. (←) The expected amplicon size.











