
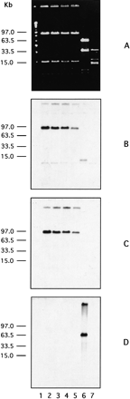
Analysis of BAC clones that hybridized to the probe Bz-528. BAC DNA from positive clones was extracted, digested withNotI, and separated by CHEF gel electrophoresis. (A) Ethidium bromide-stained gel containing DNA from five positive clones (lanes 2–6), one negative clone (lane 7), and high-molecular-weight markers (lane 1). The gel was transferred to a nylon membrane and hybridized successively with three different probes, as shown in B–D. (B) Hybridization with probe Bz-528; (C) hybridization with probe STC-323, distal to Bz; (D) hybridization with atac2094 probe, proximal to Bz.











