
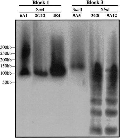
Figure 2.
Identification of the size of the three 5S arrays of chromosome 5 by pulsed field electrophoresis. Prior to PFGE, YACs were digested with SacI (2G12, 4E4, 6A1, block1), withSacII (9A5, block3), and XbaI (3G8, 9A12, block 3).











