

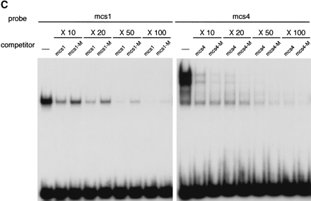
Formation of complexes between the conserved upstream elements and nuclear factors revealed by EMSA. (A) The five mouse elements, mcs1–mcs5, form complexes with specific nuclear proteins in embryos and ES cells. Nuclear extracts prepared from 12.5-dpc mouse embryos and ES cells were incubated with 32P-labeled mcs1–mcs5 oligonucleotide duplexes. The affinity between the factors and elements differed greatly. The patterns obtained with the two different extracts appeared identical except that the ES cell extracts gave one or two additional faint bands with higher mobilities. (B) Lack of cross-competition between mcs1, mcs4, SP1, and AP2 duplexes. (C) Methylation of CpG in mcs1 reduces complex formation. Effects of methylation were not evident for mcs4.











