
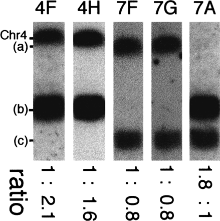
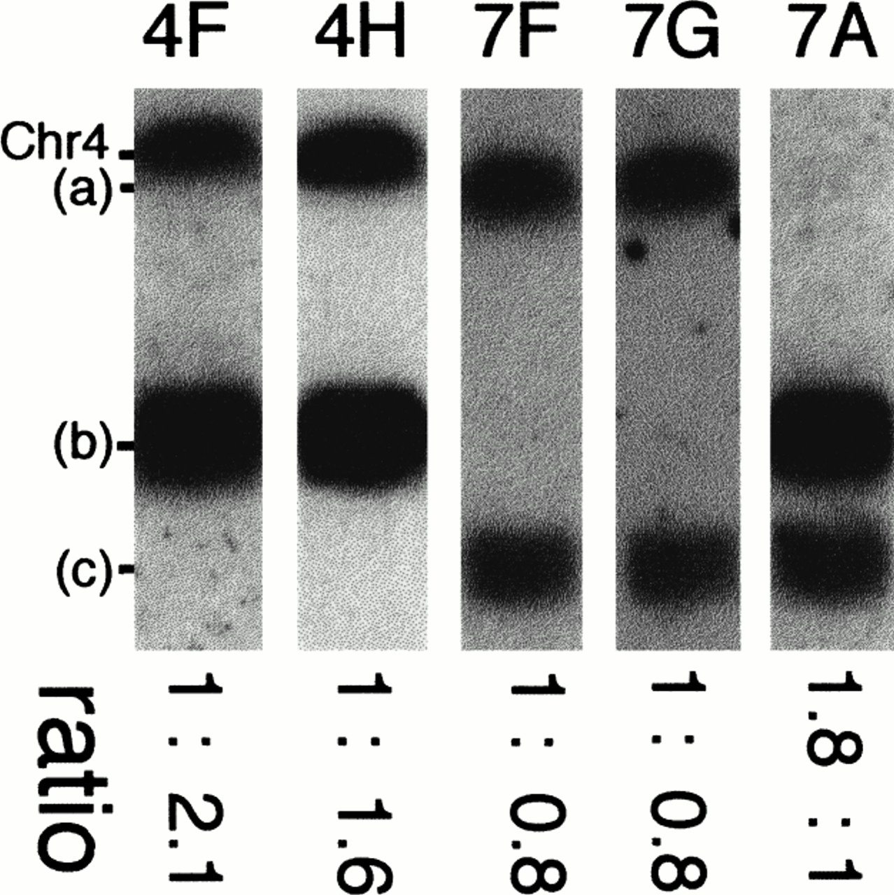
Figure 7.
Aneuploidy of chromosome (b) in NUM1000. The chromosomal DNAs of NUM1000 were separated and transferred onto a membrane. The membrane was hybridized to OGH12, OGR9, DBP7, ARS3 and YPL12, and markers were assigned to 4F, 4H, 7F, 7G, and 7A respectively. The numbers at the bottom show the intensity ratios.











