
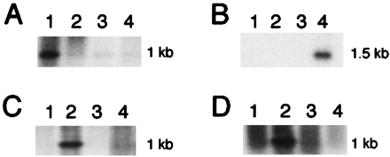
Expression analysis of novel transcripts in the imprinted gene domain. Human and mouse Northern blots were hybridized with expressed sequence tag (EST) probes. (A) Mouse Northern blot hybridized with EST670599 (accession no. AA221972): 1, heart; 2, brain; 3, spleen; 4, lung. (B) Human Northern blot hybridized with EST1422939 (GenBank accession no.AI732937): 1, spleen; 2, lung; 3, prostate; 4, testes. (C) Human Northern blot hybridized with Ihit, aGenscan-predicted cDNA located betweenH19 and Igf2: 1, heart; 2, brain; 3, spleen; 4, kidney. (D) Human fetal Northern blot hybridized with Ihit, 1, kidney; 2, liver; 3, lung; 4, brain.











