
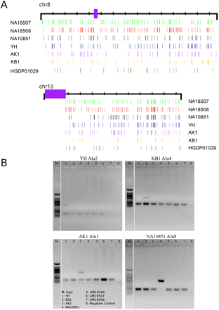
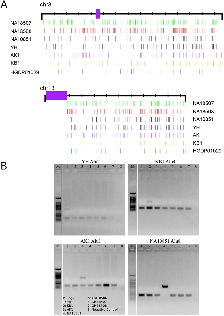
Figure 2.
Chromosomal distribution of Alu insertion polymorphisms. (A) Alu integration sites are depicted for chromosomes 8 and 13 in the genomes of NA18507, NA18508, NA10851, YH, AK1, KB1, and HGDP01029. Purple bars represent the centromeres. (B) PCR genotyping assays are shown for four different loci (YH Alu2, KB Alu4, AK1 Alu1, and NA10851 Alu8) in the genomes of seven individuals.











